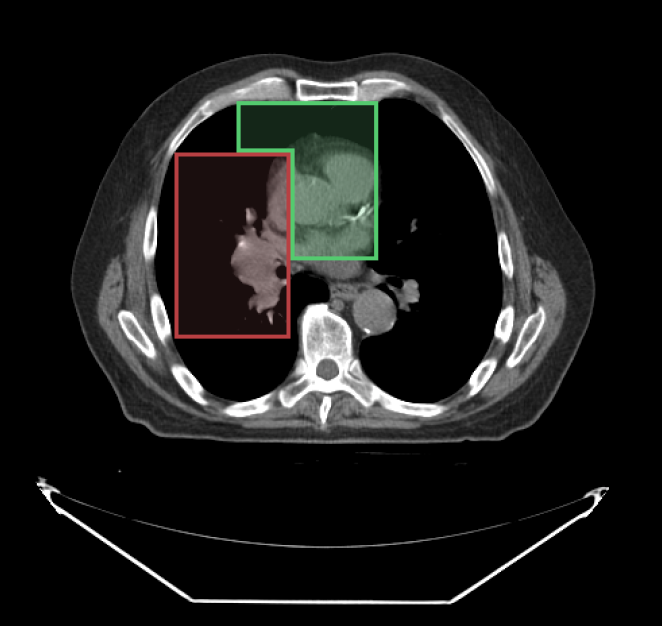
Segment Index
When drawing with segmentation tools, you can specify which segment index to use. Below, we have used the SegmentIndex API to change the segmentIndex to draw the second segment.

API
import { segmentation } from '@cornerstonejs/tools';
// get active segment index for the segmentation Id
segmentation.segmentIndex.getActiveSegmentIndex(segmentationId);
// set active segment index for the segmentation Id
segmentation.segmentIndex.setActiveSegmentIndex(segmentationId, segmentIndex);