Segment Locking

You can lock specific segments in a segmentation to prevent them from being modified by any tools.
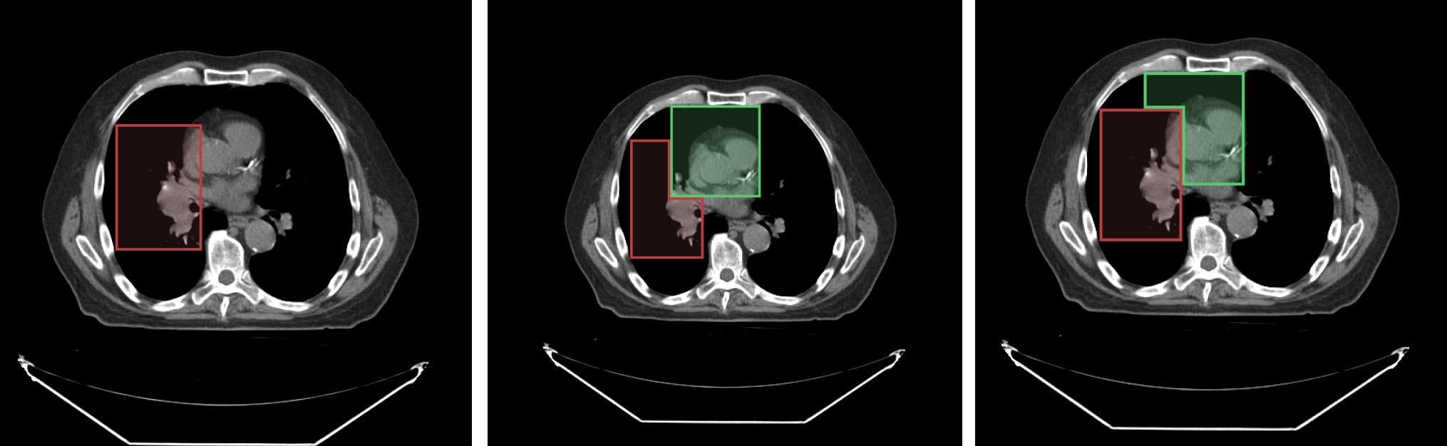
For example, consider the following image with an overlaid labelmap:
- Left image: shows
segment index 1 - Middle image: shows the result when
segment index 2is drawn on top ofsegment index 1 - Right image: shows the result when
segment index 1is locked andsegment index 2is drawn on top ofsegment index 1
As shown in the locked scenario (right image), when segment index 1 is locked, it cannot be modified by new drawings.
![segment-locking-example]
API
The locking API has been updated in version 2.x to provide clearer method names and functionality:
import { segmentation } from '@cornerstonejs/tools';
// Lock/unlock a segment index in a segmentation
segmentation.locking.setSegmentIndexLocked(
segmentationId,
segmentIndex,
locked
);
// Get all locked segment indices for a segmentation
const lockedIndices = segmentation.locking.getLockedSegmentIndices(segmentationId);
// Check if a segment index is locked
const isLocked = segmentation.locking.isSegmentIndexLocked(
segmentationId,
segmentIndex
);
Example Usage
// Lock segment 1 in a segmentation
segmentation.locking.setSegmentIndexLocked('segmentation1', 1, true);
// Check if segment 1 is locked
const isLocked = segmentation.locking.isSegmentIndexLocked('segmentation1', 1);
console.log(`Segment 1 is ${isLocked ? 'locked' : 'unlocked'}`);
// Get all locked segments
const lockedIndices = segmentation.locking.getLockedSegmentIndices('segmentation1');
console.log('Locked segment indices:', lockedIndices);
// Unlock segment 1
segmentation.locking.setSegmentIndexLocked('segmentation1', 1, false);
Key Changes in Version 2.x
- Renamed
getLockedSegmentstogetLockedSegmentIndicesfor clarity - The locked state is now stored in the segment data structure:
{
segments: {
[segmentIndex]: {
locked: boolean,
// other segment properties...
}
}
}
Note that the locking state applies to the segmentation as a whole, not to specific representations or viewports. If a segment is locked, it will be locked across all viewports and representations.